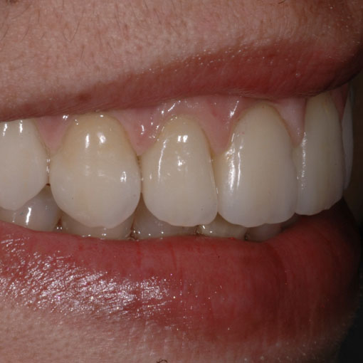
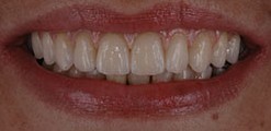
Lentes de contato dentais

As lentes de contato dentais são restaurações protéticas ultrafinas confeccionadas em porcelana cuja espessura é de aproximadamente 0,1 a 0,3mm. As lentes recobrem, como uma capa, a face vestibular (frente) dos elementos dentários e são cimentadas adesivamente à superfície do dente, utilizando protocolos e materiais específicos.

Coroas totais anteriores Bilayers

Assim como as coroas totais posteriores, as coroas totais anteriores são próteses unitárias que recobrem todo o elemento dentário previamente preparado e tem o objetivo de devolver a forma e a estética do elemento dentário perdido ou destruído no segmento anterior

Coroas totais cerâmicas em zircônia monolítica ultratranslúcida

As coroas totais são próteses unitárias que recobrem todo o elemento dentário previamente preparado e tem o objetivo de devolver a forma, textura, cor e função do elemento dentário perdido ou destruído seja por cárie, restaurações deficientes ou fraturas extensas.

Coroas totais posteriores Bilayers

As coroas totais posteriores são próteses unitárias que recobrem todo o elemento dentário previamente preparado e tem o objetivo de devolver a forma e a estética do elemento dentário perdido ou destruído no segmento anterior.

Prótese tipo protocolo cerâmico

As próteses tipo protocolo são próteses fixas parafusadas sobre implantes dentários instalados em pacientes que perderam todos os dentes de um arco, seja superior ou inferior.

Este site usa cookies para garantir que você obtenha a melhor experiência, Saiba mais sobre nossa Política de cookies